
When Pneumonia Persists: The Hidden Diagnosis Behind Lingering Symptoms
A compelling case from Bahrain Specialist Hospital’s Pulmonary Clinic underscores the importance of persistence, precision, and the power of multidisciplinary care.
Case Overview A 63-year-old female patient, managing chronic conditions including hypothyroidism and hyperlipidemia, presented with a constellation of symptoms: subacute dry cough, exertional breathlessness, easy fatigability, and generalized tiredness. Despite multiple rounds of antibiotics, her symptoms showed little improvement.
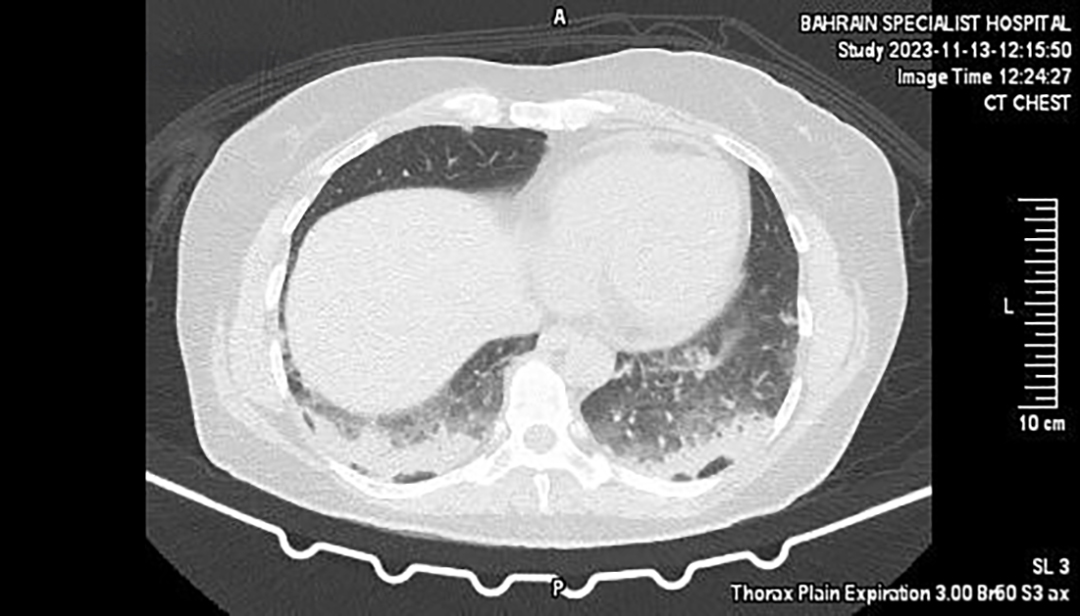
Initial investigations — including routine blood tests — returned mostly normal, save for an elevated C-reactive protein (CRP), hinting at underlying inflammation. Imaging studies via chest radiograph and high-resolution CT (HRCT) revealed bilateral subpleural and patchy consolidations, raising concerns about a non-resolving pulmonary condition.
In pursuit of clarity, our clinical team proceeded with a flexible bronchoscopy, complete with bronchoalveolar lavage (BAL) and transbronchial lung biopsy. Microbiological evaluations for bacterial, fungal, and mycobacterial infections yielded no pathogens.
The Turning Point Histopathological analysis delivered the breakthrough: organizing pneumonia, characterized by organizing inflammation without granulomas or malignancy. With this critical diagnosis, systemic corticosteroid therapy was initiated — and the results were dramatic. The patient’s symptoms improved significantly, and follow-up imaging confirmed radiological resolution.
Clinical Insight
Not all consolidations are infectious in nature. In cases of non-resolving pneumonia unresponsive to antibiotics, clinicians must broaden the differential diagnosis to include inflammatory or neoplastic conditions. Bronchoscopic lung biopsy remains a cornerstone of accurate diagnosis — guiding effective therapy and optimizing outcomes.


Speak with our Contact Center for assistance


